- 外科医募集
- 神経内科専門医、医長クラスまたは診療部長クラスの募集
- リハビリテーション専門医、整形外科専門医の募集
- 後期研修医募集(小児科・内科・脳神経内科)
- 医師募集(外科・整形外科・小児科・内科・脳神経内科)
 専門的なスキルを学びたい医師歓迎
- プライマリ・ケア連合学会認定
 「新潟病院総合診療医後期研修プログラム」研修医募集
- 新潟病院見学説明会のご案内
- 臨床研究部室長の公募
後期研修医募集
| a: | 3年目の後期研修のプログラムで、国際的なレベルで通用する総合的および専門的診療技術と認定医、専門医が取得できます。 さらに、常勤医師として好待遇で行えるプログラムです。 | 
| b: | 現在小児科、内科・脳神経内科にて募集を行っています。小児科専門医、内科認定医を取得できます。 
 | 
| c: | 神経内科専門医取得カリキュラムをもち指導の高い実績があります。 | 
| d: | 海外研修、短期留学プログラムを持っています。 | 
| ※ | 新潟病院の概要(PDF)  クリックして下さい。 | 
神経内科専門医・内科認定医コースと大学院博士課程パラレルトラックコ−スの誘い
(常勤医で年収も安定し、資格もすべて取るプログラムの紹介)
基本事項
- 常勤医師、ボーナス、有給休暇あり。プログラム終了後も、継続雇用され機構内病院への転勤もできます。
 ・内科認定医取得後は地域医療貢献のため、地域の保健医療機関で応援診療・兼業による地域医療
 研修も可能。(週半日以内)
- 内科認定医、神経内科専門医取得だけでなく、常勤医のまま、大学院博士課程による医学博士を取得できます。 外来・救急・プライマリ・ケア・在宅・専門医療・臨床研究のあらゆる内容が習得できます。BLS,ICLSインストラクター資格が当院で取得できます。内科認定医取得者には神経内科専門医+研究プログラムあり。
- 内科指導医、神経内科指導医の他、臨床遺伝専門医、外科専門医、リウマチ専門医、検査診断専門医、放射線専門医などの専門的な指導を受けられます。
- 超音波診断、MRI診断、MDCT診断、内視鏡診断、気管支鏡診断、脳波診断、神経伝導度検査、筋電図などあらゆるモダリティの検査診断を完全に取得できます。
- 国内研修プログラムがあります。機構内病院および新潟大学附属病院、脳研究所病理など。
- 国内学会参加、研修会参加、海外大学院同時進学(留学)できます。費用は病院負担です。医学・医療・在宅医療英語研修プログラムがあります。(費用病院負担)
週間予定表の例

- 週間予定表は相談にて変更。以下も選択できます。
- 小児神経研修(小児科専門医と)
- 循環器内科研修(脳卒中診療関連、心不全・不整脈・筋ジス関連、プライマリケア関連)(循環器専門医と)
- 呼吸器内科研修(呼吸不全研修、呼吸療法研修、NPPV研修、呼吸リハビリテーション)
- リハビリテーション医学研修
- 消化器科研修(外科専門医と)
研修プログラムの例

| 問い合わせ先 nakajima.takashi.ud@mail.hosp.go.jp (中島 院長) ozawa.tetsuo.yk@mail.hosp.go.jp (小澤 副院長) | 
テーマ解説 国立病院機構 新潟病院 内科・神経内科
難病・筋疾患・認知症・遺伝医療などの最新診療の充実
DNA診断から遺伝カウンセリング
        
         院内の臨床検査科にて各種遺伝性疾患のPCR診断やシークエンス決定も行っている。
        
        
- あらゆる年齢層で神経疾患の診療をおこなう。
- すべての時点で最新の診断・治療技術を導入
- 小児から成人高齢者まで
- 筋ジストロフィーの遺伝子治療に向けた取り組み
- アルツハイマー病の治験の参加(モノクローナル抗体による)
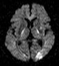
新潟病院では脳梗塞の最新診療と研修が充実
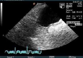
経食道心エコー法(TEE)を積極利用
         |  |  | 
脳梗塞急性期から、MRIと 頸動脈エコーと経頭蓋のHITS(high intensity thrombotic signals)で
再発作をコントール
        再発作をコントール
|  |  | 
|  | |
頸動脈病変の評価
        
- 左内頚動脈に低輝度プラークとNASCET法80%の狭窄性病変
- 経頭蓋超音波検査にて左MCAで30分間にHITSが9個検出された。
- 左内頚動脈の硬化病変を原因とするアテローム血栓性脳梗塞
- HITSを指標として抗血小板薬の治療効果が検証
新潟病院での最先端のPEG技術取得
内視鏡の進歩
        

- あらゆる障害者、神経・筋疾患に対して、呼吸不全があっても、経皮内視鏡的に胃瘻を造設可能
- 細径の内視鏡とintroducer法で、咽頭麻酔、静脈麻酔不要。
 (会田ら 神経学会総会抄録2009)。
- 栄養障害が進行した患者でも腹壁固定を行うことで、瘻孔形成不全や腹膜炎併発を予防。 (石田ら 神経治療学1999)
装着型を使ったリハビリテーションと治験/研究 Hybrid Assistive Limb(HAL)
|  |  | 
英国緩和ケア・在宅ケア研修 英国大学院社会人入学
- St. Christopher’s Hospice(在宅)
- Kings College Hospital(急性期)
- Helen & Douglas House(小児)
- 医師、看護師などが臨床実習(2010年2月,2011年6月,2012年8月)。
- 毎週木曜日英国人から医療英会話プログラム。
- Kings Collegeの大学院に進学(6回x2W英国滞在Skypeも利用)

King’s college of Londonのマスタープログラム留学へ
      
パンフレット


 クリックして下さい。
 クリックして下さい。