放射線科
放射線科の紹介
放射線科では単純X線撮影、CT検査、MRI検査、核医学検査、X線透視検査、骨塩定量検査、歯科撮影検査、マンモグラフィなどの検査を行っています。放射線科は2つのフロアに分かれており、1階では一般撮影、およびCT検査等のX線検査、地下ではMRI検査および核医学検査を行っています。
放射線科にお越しの際は、まず1階で受付をしていただき、その後各検査室へご案内いたします
検査の流れ
- 放射線科受付にて、基本票をファイルごと、ご提出ください。
- お名前が呼ばれましたら、検査室へお入りいただき、検査を受けていただきます。
- 検査終了後、提出されたファイルをお受け取りのうえ、各診療科または会計窓口へお進みください
各検査の紹介
単純X線撮影
胸部や腹部などの体の部位にX線を照射し、透過度の違いを画像化する基本的な検査です。短時間で撮影でき、骨折、肺炎、結核、腸閉塞など様々な病気の初期診断に広く用いられます。体内の構造を視覚的に確認できる重要な検査です。
FPD装置によりコンピュ-タでさまざまな画像処理が可能です。各撮影部位に適した濃度になるように処理されますので、診断能の高い画像を提供することができます。
X線を透過しやすい肺は黒く、透過しにくい骨は白く描出されます。
病巣部は、正常部とX線の透過度が異なるため、正常部とは異なった見え方となります。
CT検査
体を透過したX線を多方向から収集し、コンピューター処理によって輪切り(断層)画像を作成する装置です。脳、肺、肝臓、膵臓、血管などの臓器や、小さい病変も鮮明に描出できます。病変の正確な位置や大きさを三次元(3D)に把握することが可能で特にがんの発見、脳卒中、外傷による骨折や内臓の損傷など迅速で精密な診断が求められる場面で不可欠な検査です。
当院では2024年にキヤノン製Aquilion PrimeSPを導入しました。このCTは、Ai技術を用いた画像再構成技術AiCE を採用し、X線量を抑えつつノイズを低減し、シャープで高コントラスト・高精細なCT画像を生成することが可能です。
撮影した画像をコンピューター処理して立体的な画像として表示できます。
MRI検査
強力な磁場と電波を利用して体内の臓器や血管、神経などを詳細に描き出す検査です。放射線を使用しないため被ばくの心配がなく、安全に実施できます。脳や脊椎、関節、腹部など幅広い領域の精密検査が可能です。検査中は大きな音がしますが、リラックスして受けていただけるよう耳栓やヘッドホンを用意しています。
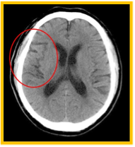
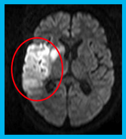
MRI検査には20~60分の時間を要します。脳内腫瘍をはじめ、感覚などの神経系、手足の関節、その他腫瘍が疑われる部位の軟部組織の描出を得意としています。また、造影剤を使用せずに脳や頸部の血管を描出することも可能です。さらに、CTに比べて脳梗塞の診断に優れており、より早期かつ正確な評価が可能です。
CTは脳出血の有無確認に優れ、検査時間が短く救急で有用ですが、発症直後の脳梗塞は変化が分かりにくい場合があります。MRIは早期の脳梗塞を白く明瞭に描出でき、病変の範囲や状態をより正確に評価できます
MRIの欠点として、動く臓器や検査中の体動に弱く画像が乱れやすい点があります。強い磁力を使用するため、金属は種類により制限があり、時計、携帯電話、磁気カードは故障したり使えなくなってしまいます。化粧品やカラーコンタクトなども安全のため外していただきます。
核医学検査
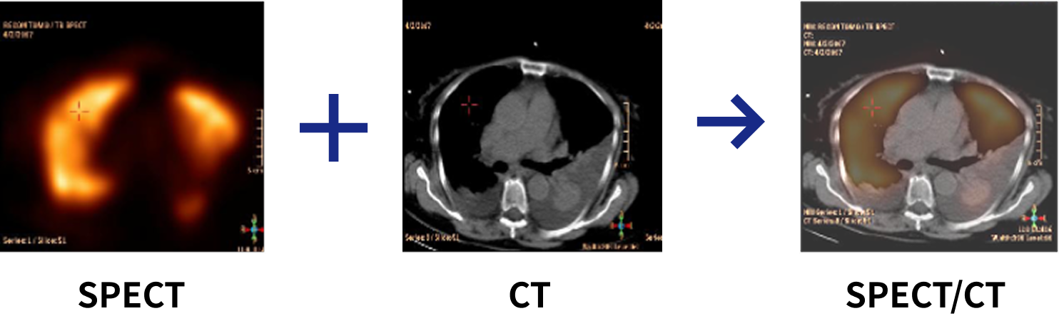
核医学装置とCTを組み合わせた「SPECT-CT装置」を導入しています。
核医学検査は、放射性医薬品を体内に投与し、その分布を画像化することで臓器の機能や代謝を評価できる検査です。
SPECT-CTでは、核医学画像に加えてCTによる解剖学的情報を融合することで、病変の正確な位置や性状を高精度に把握できます。
SPECT検査(脳血流シンチグラフィ)
脳血流シンチグラフィは脳の血流状態を可視化する検査です。脳のどの部位で血流が保たれているか、あるいは低下しているのかを確認できます。
認知症の種類ごとに特徴的な血流低下パターンがあるため認知症の鑑別診断に役立ちます。

健康な人では、後部帯状回や楔前部および後頭葉などの血流が赤く映し出される。

アルツハイマー型認知症の人では、後部帯状回や頭頂葉内側の楔前部などで血流の低下がみられます
SPECT-CTの特徴
SPECTでは臓器や病変の「血流・代謝・集積状態」といった機能が分かり、CTでは正確な解剖学的位置や形状が把握できます。これらを重ね合わせることで、異常な集積が「どの部位にあるのか」「どの臓器や構造に一致するのか」が明確になり、腫瘍・炎症・虚血などの診断精度が向上します。
骨塩定量検査
骨に含まれるカルシウム量を測定し、骨の強さや骨粗鬆症の程度を評価する検査です。短時間で終了し、被ばく量も少なく安全性が高いのが特徴です。腰椎や大腿骨といった骨折リスクの高い部位を中心に測定し、結果は骨粗鬆症の診断や治療効果の判定、将来的な骨折リスク予測に役立ちます。
さらに本装置では、腰椎DXA画像を用いたTBS(Trabecular Bone Score)解析を併用することで、骨密度では評価しきれない骨質(骨の微細構造)も数値化でき、より総合的で精度の高い骨折リスク評価が可能となります。
歯科撮影
歯科用パノラマX線撮影装置(写真・右)
YOSHIDA X-ERA SMART
歯科用デンタルX線撮影装置(写真・左)
YOSHIDA REX 601
歯科パノラマ撮影
上下の歯列や顎の骨、顎関節などを一度に広範囲で撮影できる検査です。短時間・低被ばくで口腔全体の状態を把握でき、親知らずの位置や骨の異常、歯周病の進行度などの診断に有効です。
デジタル撮影
限られた数本の歯を高精細に写し出す局所撮影で、虫歯や根尖(こんせん)病変、歯槽(しそう)骨の詳細な評価に適しています。
ポータブル撮影
病棟や手術室など、患者さんが移動できない状況でも実施できる出張型のX線検査です。当院では最新のデジタル可搬型X線装置を使用し、撮影後すぐに画像を確認できるため、迅速な診断と治療につなげることができます。胸部や腹部などの撮影を中心に、寝たままの状態でも正確で鮮明な画像を撮影できます。
乳房撮影
乳房撮影(マンモグラフィ)は、乳がんをはじめとする乳腺疾患の早期発見に欠かせない検査です。当院では高精細なデジタルマンモグラフィ装置を導入し、微細な石灰化や小さなしこりも鮮明に描出できます。女性技師が対応することで、リラックスして検査を受けていただけるよう配慮しています。検査時間はおおむね10分程度です。
MAMMOMAT Inspiration
X線TV
体の中の動きをリアルタイムで映し出しながら検査や処置を行うことができる装置です。嚥下検査(飲み込む力の評価)、胃や腸など消化器の検査、チューブやカテーテルの位置確認、整形外科での関節や骨の動きの観察など、幅広い診療分野で使用されています。検査で得られた画像はその場で確認できるため、迅速で正確な診断や処置が可能です。
SONIAL VISION safire17
外科用X線Cアーム
手術中に体の内部をリアルタイムで映し出すことができる装置です。Cの形をしたアームを自由に動かして、さまざまな角度から画像を確認することが可能です。当院では高精細なデジタルCアーム装置を導入し、少ない放射線量で鮮明な画像を提供しています。これにより、医師は体の内部構造を正確に把握しながら、安全で精度の高い手術を行うことが可能です。
スタッフ紹介
- 放射線科医長 1名
- 診療放射線技師長 1名
- 副診療放射線技師長 1名
- 主任診療放射線技師 1名
- 診療放射線技師 3名
資格取得者
放射線科の各分野において、学会などで認定資格制度が実施されており、当科の技師は以下の認定資格を取得しています。
- 検診マンモグラフィ撮影認定診療放射線技師 1名
- 肺がんCT検診認定技師 1名
- X線CT認定技師 1名
- 救急撮影認定技師 1名
- 胃がん検診専門技師 1名
- 保健衛生学修士 1名
- 放射線管理士 1名
- 放射線機器管理士 1名
- 臨床実習指導教員 1名